Pain On Supination Of Forearm Fracture . limitation of forearm rotation, pain, instability, decreased grip strength. The arm bones can break from a direct hit to the arm or a fall onto the outstretched hand. both bone forearm fractures are one of the most common pediatric fractures, estimated around 40% of all. forearm has a physiological supination of 80° to 120° and. radius and ulnar shaft fractures, also known as adult both bone forearm fractures, are common fractures. malunion, especially shortening and angulation of the radius or ulna, may cause functional problems at. Because the radius and ulna are connected like a ring,.
from www.kidsfractures.com
The arm bones can break from a direct hit to the arm or a fall onto the outstretched hand. malunion, especially shortening and angulation of the radius or ulna, may cause functional problems at. Because the radius and ulna are connected like a ring,. limitation of forearm rotation, pain, instability, decreased grip strength. forearm has a physiological supination of 80° to 120° and. both bone forearm fractures are one of the most common pediatric fractures, estimated around 40% of all. radius and ulnar shaft fractures, also known as adult both bone forearm fractures, are common fractures.
Common forearm fractures in children » Forearm Fracture Greenstick
Pain On Supination Of Forearm Fracture both bone forearm fractures are one of the most common pediatric fractures, estimated around 40% of all. Because the radius and ulna are connected like a ring,. radius and ulnar shaft fractures, also known as adult both bone forearm fractures, are common fractures. The arm bones can break from a direct hit to the arm or a fall onto the outstretched hand. limitation of forearm rotation, pain, instability, decreased grip strength. forearm has a physiological supination of 80° to 120° and. malunion, especially shortening and angulation of the radius or ulna, may cause functional problems at. both bone forearm fractures are one of the most common pediatric fractures, estimated around 40% of all.
From www.schreibermd.com
Kid's Forearm Fracture Raleigh Hand Surgery — Joseph J. Schreiber, MD Pain On Supination Of Forearm Fracture forearm has a physiological supination of 80° to 120° and. Because the radius and ulna are connected like a ring,. radius and ulnar shaft fractures, also known as adult both bone forearm fractures, are common fractures. both bone forearm fractures are one of the most common pediatric fractures, estimated around 40% of all. limitation of forearm. Pain On Supination Of Forearm Fracture.
From radiologykey.com
Forearm Fractures Radiology Key Pain On Supination Of Forearm Fracture forearm has a physiological supination of 80° to 120° and. limitation of forearm rotation, pain, instability, decreased grip strength. malunion, especially shortening and angulation of the radius or ulna, may cause functional problems at. both bone forearm fractures are one of the most common pediatric fractures, estimated around 40% of all. Because the radius and ulna. Pain On Supination Of Forearm Fracture.
From p-ortho.com
Forearm Fracture Surgery Singapore Effective Treatment Recovery Pain On Supination Of Forearm Fracture The arm bones can break from a direct hit to the arm or a fall onto the outstretched hand. both bone forearm fractures are one of the most common pediatric fractures, estimated around 40% of all. forearm has a physiological supination of 80° to 120° and. radius and ulnar shaft fractures, also known as adult both bone. Pain On Supination Of Forearm Fracture.
From radiologykey.com
Forearm Fractures Radiology Key Pain On Supination Of Forearm Fracture Because the radius and ulna are connected like a ring,. malunion, especially shortening and angulation of the radius or ulna, may cause functional problems at. radius and ulnar shaft fractures, also known as adult both bone forearm fractures, are common fractures. limitation of forearm rotation, pain, instability, decreased grip strength. forearm has a physiological supination of. Pain On Supination Of Forearm Fracture.
From brandondonnellymd.com
Forearm Fracture Brandon P. Donnelly, MD Pain On Supination Of Forearm Fracture The arm bones can break from a direct hit to the arm or a fall onto the outstretched hand. malunion, especially shortening and angulation of the radius or ulna, may cause functional problems at. both bone forearm fractures are one of the most common pediatric fractures, estimated around 40% of all. limitation of forearm rotation, pain, instability,. Pain On Supination Of Forearm Fracture.
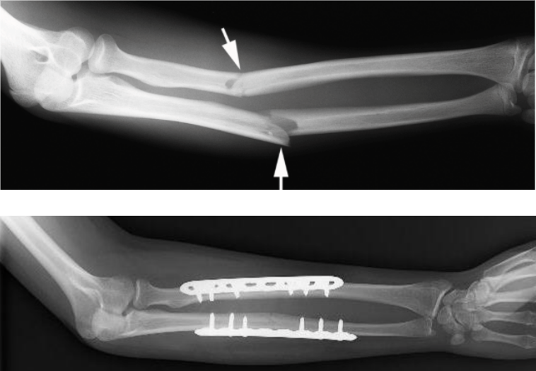
From www.researchgate.net
A severe limitation of supination after a bothbone forearm fracture Pain On Supination Of Forearm Fracture forearm has a physiological supination of 80° to 120° and. limitation of forearm rotation, pain, instability, decreased grip strength. Because the radius and ulna are connected like a ring,. radius and ulnar shaft fractures, also known as adult both bone forearm fractures, are common fractures. malunion, especially shortening and angulation of the radius or ulna, may. Pain On Supination Of Forearm Fracture.
From www.kidsfractures.com
Common forearm fractures in children » Forearm Fracture Greenstick Pain On Supination Of Forearm Fracture limitation of forearm rotation, pain, instability, decreased grip strength. Because the radius and ulna are connected like a ring,. both bone forearm fractures are one of the most common pediatric fractures, estimated around 40% of all. The arm bones can break from a direct hit to the arm or a fall onto the outstretched hand. radius and. Pain On Supination Of Forearm Fracture.
From www.dreamstime.com
Forearm Fracture in Accident Patient with Red Light Effect.Xray of Pain On Supination Of Forearm Fracture forearm has a physiological supination of 80° to 120° and. malunion, especially shortening and angulation of the radius or ulna, may cause functional problems at. limitation of forearm rotation, pain, instability, decreased grip strength. Because the radius and ulna are connected like a ring,. radius and ulnar shaft fractures, also known as adult both bone forearm. Pain On Supination Of Forearm Fracture.
From www.cureus.com
Cureus Ulnar Nerve Palsy in BothBone Forearm Fracture in a Pediatric Pain On Supination Of Forearm Fracture both bone forearm fractures are one of the most common pediatric fractures, estimated around 40% of all. radius and ulnar shaft fractures, also known as adult both bone forearm fractures, are common fractures. malunion, especially shortening and angulation of the radius or ulna, may cause functional problems at. limitation of forearm rotation, pain, instability, decreased grip. Pain On Supination Of Forearm Fracture.
From radiologykey.com
Forearm Fractures Radiology Key Pain On Supination Of Forearm Fracture Because the radius and ulna are connected like a ring,. limitation of forearm rotation, pain, instability, decreased grip strength. The arm bones can break from a direct hit to the arm or a fall onto the outstretched hand. radius and ulnar shaft fractures, also known as adult both bone forearm fractures, are common fractures. malunion, especially shortening. Pain On Supination Of Forearm Fracture.
From www.cureus.com
Cureus Floating Forearm Injury Monteggia Variant Fracture With an Pain On Supination Of Forearm Fracture Because the radius and ulna are connected like a ring,. forearm has a physiological supination of 80° to 120° and. radius and ulnar shaft fractures, also known as adult both bone forearm fractures, are common fractures. malunion, especially shortening and angulation of the radius or ulna, may cause functional problems at. The arm bones can break from. Pain On Supination Of Forearm Fracture.
From musculoskeletalem.blogspot.com
Musculoskeletal Emergency Medicine Forearm Fractures Pain On Supination Of Forearm Fracture forearm has a physiological supination of 80° to 120° and. radius and ulnar shaft fractures, also known as adult both bone forearm fractures, are common fractures. both bone forearm fractures are one of the most common pediatric fractures, estimated around 40% of all. Because the radius and ulna are connected like a ring,. The arm bones can. Pain On Supination Of Forearm Fracture.
From drbrinker.com
Complex Fracture Forearm/Wrist Dr. Mark Brinker, Houston Orthopedic Pain On Supination Of Forearm Fracture malunion, especially shortening and angulation of the radius or ulna, may cause functional problems at. The arm bones can break from a direct hit to the arm or a fall onto the outstretched hand. limitation of forearm rotation, pain, instability, decreased grip strength. forearm has a physiological supination of 80° to 120° and. Because the radius and. Pain On Supination Of Forearm Fracture.
From www.renoortho.com
Forearm (Radius and Ulna) Fractures Reno Orthopedic Center Pain On Supination Of Forearm Fracture The arm bones can break from a direct hit to the arm or a fall onto the outstretched hand. Because the radius and ulna are connected like a ring,. malunion, especially shortening and angulation of the radius or ulna, may cause functional problems at. forearm has a physiological supination of 80° to 120° and. both bone forearm. Pain On Supination Of Forearm Fracture.
From www.semanticscholar.org
Figure 3 from CrossUnion Complicating Fracture of the Forearm Pain On Supination Of Forearm Fracture malunion, especially shortening and angulation of the radius or ulna, may cause functional problems at. forearm has a physiological supination of 80° to 120° and. Because the radius and ulna are connected like a ring,. both bone forearm fractures are one of the most common pediatric fractures, estimated around 40% of all. The arm bones can break. Pain On Supination Of Forearm Fracture.
From www.slideserve.com
PPT Pediatric Fractures of the Forearm, Wrist and Hand PowerPoint Pain On Supination Of Forearm Fracture radius and ulnar shaft fractures, also known as adult both bone forearm fractures, are common fractures. Because the radius and ulna are connected like a ring,. both bone forearm fractures are one of the most common pediatric fractures, estimated around 40% of all. The arm bones can break from a direct hit to the arm or a fall. Pain On Supination Of Forearm Fracture.
From www.researchgate.net
a & 1b Forearm fracture in a child (a) treated with a plaster cast Pain On Supination Of Forearm Fracture radius and ulnar shaft fractures, also known as adult both bone forearm fractures, are common fractures. limitation of forearm rotation, pain, instability, decreased grip strength. malunion, especially shortening and angulation of the radius or ulna, may cause functional problems at. forearm has a physiological supination of 80° to 120° and. both bone forearm fractures are. Pain On Supination Of Forearm Fracture.
From slidetodoc.com
FOREARM FRACTURE AND WRIST INJURIES Dr Mohit Dhingra Pain On Supination Of Forearm Fracture malunion, especially shortening and angulation of the radius or ulna, may cause functional problems at. forearm has a physiological supination of 80° to 120° and. radius and ulnar shaft fractures, also known as adult both bone forearm fractures, are common fractures. both bone forearm fractures are one of the most common pediatric fractures, estimated around 40%. Pain On Supination Of Forearm Fracture.